LAMIS Laboratory
Mail Now
labo.lamis@univ-tebessa.dz
Breast Cancer Research
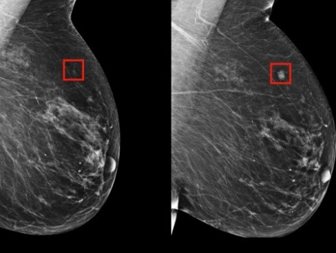
IA-CAD: Early Diagnosis Support for Breast Cancer

This project aims to develop an effective CAD system using deep learning to support early breast cancer diagnosis.

Members: Pr. Amroune Mohamed, Pr. Hakim Bendjenna, and more.

Starting Date: 2022 | Duration: 3 years

Anatomopathological Diagnosis
Intelligent System for Anatomopathological Diagnosis

Using AI to improve accuracy and speed in anatomical pathology diagnoses.

Members: Pr. Hakim Bendjenna, Dr. Gasmi Mohamed, and PhD student Ghenai Charaf Eddine.

Starting Date: 2022 | Duration: 4 years

Neural Diseases via Manuscript Analysis
Early Detection of Neural Diseases via Manuscript Analysis

Using handwriting analysis to detect neural diseases like Alzheimer's and Parkinson's.

Members: Dr. Taher Mekhaznia, Dr. Bennour Akram, PhD students: Asma Aoun Allah, Tag Samir, Souli Yassine, Mahmoudi Rachid, Benredjem Sabrina, Boudraa Merouane, Kaber Nour El Houda.

Starting Date: 2022 | Duration: 4 years

Pulmonary Disease Diagnosis
Application of AI Techniques for Pulmonary Disease Diagnosis

Using AI and machine learning to enhance the diagnosis of pulmonary diseases.

Members: Dr. Akram Bennour, PhD students: Gaham Oussama, Farah Hamza.

Starting Date: 2023 | Duration: 4 years

Corrosion Detection in Industrial Equipment
Intelligent System for Corrosion Detection in Industrial Equipment

Developing a system to monitor and inspect corrosion in industrial equipment.

Members: Dr. Mohamed Yassine Haouam, Dr. Merzoug Soltane, PhD student Touat Hamad Zineb.

Starting Date: 2023 | Duration: 4 years

Cardiovascular Pathologies
Computer-Assisted Intelligent Diagnosis for Cardiovascular Pathologies

Leveraging machine learning to predict and detect cardiovascular diseases.

Members: Dr. Issam Bendib, Pr. Mohamed Amroune, Dr. Mohamed Yassine Haouam, PhD students: Ali Adjal, Fares Soufiane Mazouni, Faycel Merzag.

Starting Date: 2023 | Duration: 4 years

E-Government Security
TrustGov: Deep Learning-Based Biometric Approach to Secure E-Government Applications

Developing secure biometric-based authentication for E-government applications.

Members: Dr. Laimeche Lakhdar, Dr. Haouam Med Yassine, PhD students: Makhlouf Ziad Eddine, Gharbi Abdelhakim, Toureche Amina, Kenaza Rabah, Khemane Ameur, Ferik Brahim.

Starting Date: 2022 | Duration: 4 years

Fixed Point Theory and Applications
Fixed Point: Theory and Applications

Exploring the use of fixed point theorems in various mathematical models.

Members: Dr. Khaled Berrah, Dr. Nabti Abderrazek, PhD students: Sadi Saleh, Hadjadj Randa, Chettouh Kamilia.

Starting Date: 2023 | Duration: 4 years

Asymptotic Behavior of Solutions
Asymptotic Behavior of Solutions to Nonlinear Evolution Problems

Studying the existence, stability, and explosion of solutions in nonlinear evolution models.

Members: Pr. Boumaza Nouri, Saker Meriem (PhD student), Khaoula Merzoug (PhD student).

Starting Date: 2022 | Duration: 4 years

Stabilization and Explosion of Solutions
Stabilization and Explosion of Solutions in Nonlinear Evolution Systems

Investigating methods for stabilization and destabilization of nonlinear systems.

Members: Pr. Mesloub Fatiha, Pr. Zarai Abderrahmane, Benzahi Mourad (PhD student), Merah Ahlem (PhD student), Toualbia Sarra (PhD student).

Starting Date: 2021 | Duration: 4 years